FDG-PET検査の有効性

①短時間で全身の検索をします

部位別のがん検査と異なり、一回でほぼ全身を調べることができます。
検査によって、通常の部位別検診でカバーしていない部分に、がんが見つかることもあります。

②苦痛がほとんどありません

数ccの検査薬を注射するときの痛みだけで、苦痛はほとんどありません。
約20分のカメラ撮影のためベッドに横になっているだけです。

③良性か悪性か判断します

他の画像診断などでは、疑わしい部分が写っていても、それが良性か悪性(がん)か判断できないことがあります。
細胞の活動状態をみることが得意なPET検査では、ブドウ糖を多く取り込むかどうかで、良性、悪性の鑑別を推測することができます。

④がんの進行度、転移・再発の有無を確認できます

がんの恐いところは、離れた臓器に転移したり、治療しても再発してくる場合があることです。
しかもがんの転移や再発がどの臓器に出現するかを予測することは大変困難です。
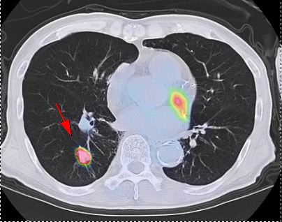
一度の検査で全身をみることができるFDG-PET検査は、がんがどの程度まで拡がっているかといった、がんのステージを判断(病期診断)したり、思わぬ場所への転移や再発がないかどうかを調べるのに役立ちます。
これらを確認することは、その後の治療方法を決めるのにとても重要です。
PET検査による病状の把握で治療方針が変わることも少なくありません。

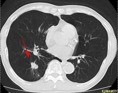
治療後経過観察にて以前の病変近傍に新たな病変出現(再発)

⑤治療中の方の効果判定に役立ちます

がんの治療には手術以外にも、化学療法や放射線療法など、さまざまな方法があります。従来はCTやMRI検査で、治療で効果が出たかどうかを見るのが一般的でしたが、治療後も異常陰影が残っていることがあり、がん細胞は残っているのか治ったあとの瘢痕なのかを判断できませんでした。
FDG-PET検査を用いるとがん細胞の活動性がわかるため、従来の検査より早い時期に、治療効果の判定をすることが可能です。治療効果判定はなるべく早く行うことで、速やかに次の段階の治療方針を検討することができます。

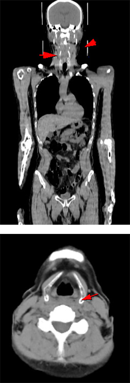
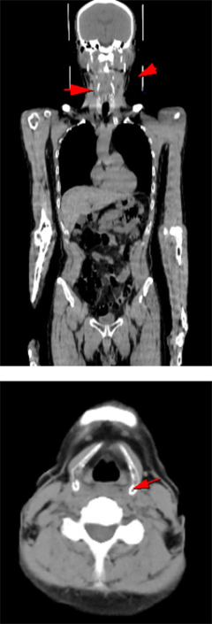
悪性リンパ腫

⑥CTやMRIなどと組み合わせるとより詳しくがんがわかります

CTやMRI検査は、体の中の組織や細胞の「かたち」を画像でとらえ、周囲臓器との関係をみることによってその異常を見つけます。これに対しPET検査は、細胞の「活動状態」を画像でとらえる検査法です。
PET検査を組み合わせることで、違った種類の情報が加わり、CTやMRIなどの検査だけでは見つかりにくかったがんが、発見しやすくなります。
またPETはCTやMRIに比較して空間分解能が低く異常が発見されても病気がどこにあるかはっきりわからない場合があります。そこでCTやMRIなどと合成(フュージョン)すると、病変部位の解剖学的な「形や大きさ」を正確に把握することができます。

⑦認知症の診断に役立ちます

FDG-PET検査はがんの検査として注目されていますが、もとは脳の働きを調べる研究からはじまった検査方法です。

脳のエネルギー代謝や神経細胞活動の活動状態を調べることを得意とします。
特にアルツハイマー型認知症では記憶を司るところの活動が低下するためPET検査で比較的早期に発見することができます。

認知症検査としてはアミロイドPET検査も準備しています。

脳 PET(FDG)の横断図

側頭頭頂葉連合野の代謝低下が見られます。ブドウ糖の取込の度合いが記憶や理解力に関係する部位で低下するのがこの病気の特徴です。

がんが疑われたら

2002年、FDG-PET検査が新たに保険適用となり、日本でも信頼できる画像診断として登場しました。
現在では一般的な検査として、広く行われる検査となっています。

FDG-PET検査でよくみえるがん

頭頸部がん(舌がん・咽頭がん・喉頭がん・上顎がん・甲状腺がん)
肺がん・乳がん・食道がん・大腸がん
膵がん・子宮がん・卵巣がん・悪性リンパ腫・悪性黒色腫

▲早期右乳癌

FDG-PET検査の弱点

PET検査にも不得意なものがいくつかあります

FDG-PET検査は成長の早いがん細胞がブドウ糖を多く消費する性質を利用して、がんの有無を診断する検査ですが、「悪性度が低く成長の遅いがん」「表面にうすく広がり、固まりをつくらないがん」「数㎜の小さすぎるがん」の場合は薬が集まりにくく発見されない場合があります。

また、検査に使う薬(FDG)が集積する脳・腎臓・膀胱・尿管部位も、集まった薬で遮蔽されてがんかどうかの診断が難しくなります。

その他、薬はがん病巣だけでなく、炎症巣や良性肉芽種疾患にも集積することがあるため、がんとの区別が難しい場合があります。

FDG-PET検査で発見が難しいがん

肝臓がんの一部(高分化型肝細胞がん)
腎臓がん・膀胱がん・スキルス胃がん
表在性に分布する小さながん

がんについて

がんとはそもそもいったいどんな病気なのでしょうか?

人間の体は約60兆個の細胞からできています。これらの細胞の一部が何らかの原因で突然変異を起こし、成長した異常細胞ががんになるといわれています。

実は、私たちの体の中では、毎日数十個もの異常細胞が作られているのです。通常は、できた異常細胞も人体の免疫機能の働きにより成長することもなくいつの間にかなくなってしまうのですが、免疫機能が弱まったりすると、そのまま成長してがんが発症してしまいます。
発症したがん細胞は大きくなるにつれ活発になり、リンパ管や血管を通って移動し、健康な部位に次々転移します。その活動は制限がなく死滅することがありません。

がんの発生の原因にはいろいろありますが、米などの炭水化物の摂取量が減り、たんぱく質中心の欧米型になった食生活、それにともなう肥満。そして大気汚染、喫煙、ストレス、高齢化(細胞の老化)等の影響があるといわれています。
また、遺伝との関係が高いがんもありますが、実際の発症は私たちの周囲を取り巻く環境要因の方がずっと多いといえましょう。がん細胞は10~20ミリを越えると急激に増殖を始め、転移のリスクも高くなります。従って、いかに小さいうちにがんをみつけるかが重要な鍵になります。
がん年齢に(40~50歳)達したら早期発見、早期治療が大切です。かかるかもしれない、もしかしてかかっているかもしれないとストレスをかかえ不安に過ごすより、定期的な検査を行うことで安心して健康に過ごしましょう。

中高年から増加するがん

日本では年間に60万人以上の方が新たにがんにかかり、約30万人の方ががんで命を奪われています。
また、年齢が上がるとともにがんによる死亡率が増え、特に40歳~70歳では死因の40~50%を占めています。
そのがんの主要部位は男性では順に肺、胃、肝臓、大腸、すい臓。
女性では順に胃、大腸、肺、乳房、すい臓となっています。

早期発見の大切さ

個人差はありますが、がんは長い年月をかけて成長し、ある大きさになると急激に増大・増殖するといわれています。そのため、小さなうちに早期発見できれば治癒・根治の可能性が非常に高いとされています。
しかし、症状なく静かに進行するのががんの特徴ですから、自覚症状でがんに気づいた時には治療が困難なことさえあります。 早期発見を可能とするためには、定期的に健康診断を受診することが大切です。

がんの病期診断

細胞診や組織診によってがんとわかると、次にそのがんがどれくらい拡がっているかを診断することが大切になります。これを病期診断といいます。
このがんの拡がりを示す「病期」は、多くの場合Ⅰ期からⅣ期までに分類され、三つの要素から判断されます。

①見つかった腫瘍の大きさや周囲臓器に進展していないかどうか
②がんの周囲にあるリンパ節への進展程度
③血流やリンパ流にのって他の離れた臓器へ転移をしているかどうか

医師はこの病期診断をもとにがんの治療方針を決めます。たとえば手術するのが最善なのか、放射線療法、抗がん剤を使った化学療法がより有利になるのか判断します。
その手術においても病巣を含めて大きな切除をするべきだとか、病巣周囲だけ小さく切除するだけだとか手術内容も変わります。
このように治療方法を判断するためには、病期診断が正確に行われていることが大変重要になるのです。

がんの拡がりを調べるのに用いられるのがCT検査やMRI検査、超音波検査、X線透視、内視鏡、核医学検査(アイソトープという放射性同位元素を使った検査)等の数々の診断法です。中でも核医学検査の一つであるFDG-PET検査は、1回の撮影(約20分)でほぼ全身の状態を画像にし、どこに潜んでいるかわからない転移巣の検索に高い効果があり、治療前の病期診断をすることが有効といわれています。

医療法人天瑶会 あかりPET画像診断クリニック All rights reserved